Ukraine
Найважливіші новини Естонії українською мовою
Зараз найважливіші новини Естонії доступні українською мовою!

147 место 0

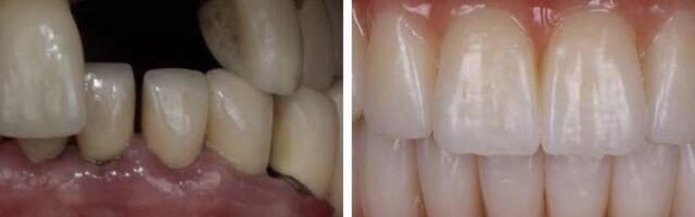
316 Миф или правда? | Вместо удаленного зуба можно в тот же день установить новый

Delfi
Delfi · 18.06.2025 13:45

Миф или правда? | Вместо удаленного зуба можно в тот же день установить новый

Миф или правда? | Вместо удаленного зуба можно в тот же день установить новый

Чтобы увидеть подробную статистику новости, нужно войти »

Оригинал

Добавь свой комментарий
Для того, чтобы читать и писать комментарии, нужно войти через Facebook.

Не пропусти важное!

10 главных новостей страны в ежедневной почтовой рассылке около полудня. Нажми на кнопку, а мы пришлём тебе самые важные новости и информацию по коронавирусу и не пришлём спама.

или зарегистрируйся

Поставь LIKE в Facebook и не пропусти главную новость дня!

Новости из того же источника
Delfi Delfi
Rus.ERR
Rus.ERR 1 место · сегодня 11:34

На радость путникам между Пярну и Тыстамаа создали серию необычных рождественских объектов

На прибрежной дороге, ведущей из Пярну в Тыстамаа, путников в темные зимние вечера удивляет украшенная рождественскими огнями тяжелая техника. Подробнее

1,451 свежая

🔮
05.12.2025 ♊︎ Конечно! Вот длинный и детальный гороскоп на сегодня для знака зодиака Близнецы с учетом указанных... Подробнее ›
Rus.ERR
Rus.ERR 3 место · сегодня 07:53

Развертывание бункеров на границе Эстонии задерживается почти на год

Работы по установке бункеров в приграничных районах Эстонии в рамках создания Балтийского оборонительного пояса откладываются примерно на год. Подробнее

797

Rus.ERR
Rus.ERR · сегодня 08:01

Департамент уточнил: инфляция в ноябре составила почти 5%

Индекс потребительских цен в Эстонии в ноябре по сравнению с октябрем снизился на 0,3%, а по сравнению с ноябрем прошлого года увеличился на 4,9%, свидетельствуют уточненные данные Департамента статистики. Подробнее

498

Tribuna
Tribuna @ Tribuna 1 место · сегодня 10:44

Установка бункеров на границе Эстонии задерживается

Монтаж защитных сооружений в природном ландшафте должен был начаться ещё в начале этого года, но сроки сдвинулись, хотя целевой показатель остаётся прежним — 600 бункеров, пишет rus.err.ee. По данным Государственного центра оборонных инвестиций (RKIK), первые контракты уже заключены, и в декабре в грунт будут установлены первые пять объектов. В Силах обороны Эстонии подчёркивают, что бункеры […] Подробнее

344 свежая

Tribuna
Tribuna @ Tribuna 2 место · сегодня 08:30

Кылварт в целом согласился с увольнением Теплова, но осудил формулировку

Столичный Департамент образования уволил директора Таллиннской Кесклиннаской русской гимназии Сергея Теплова со своего поста, который тот занимал с 2009 года. По словам вице-мэра по вопросам образования Алексея Яшина (Eesti 200), причина увольнения — противодействие переходу на эстоноязычное образование. «Во-первых, нынешняя мэрия должна и отвечать за то, что происходит в школе в последние полтора года, — […] Подробнее

336

Rus.Postimees
Rus.Postimees 1 место · сегодня 06:30

«РПЦ с начала войны взвинтила расценки на ритуалы на 40%», - в конце ноября сообщило издание The Moscow Times после изучения расценок в десятках храмов. Rus.Postimees попытался узнать, как Эстонская Православная Христианская Церковь (бывшая ЭПЦ МП) выстраивает свое ценообразование, как обстоят дела у других эстонских церквей и какова роль войны в Украине в происходящем. Подробнее

334

Rus.ERR
Rus.ERR · сегодня 11:04

Карис не провозгласил закон о военной службе из-за нарушения принципа равного обращения

Президент Алар Карис 4 декабря принял решение не провозглашать закон "О внесении изменений в Закон о военной службе и связанных с этим других законов", принятый Рийгикогу 19 ноября, поскольку он нарушает принцип равного обращения. Подробнее

327 свежая

Rus.Postimees
Rus.Postimees 2 место · сегодня 08:52

Сегодня в 00:34 в Центр тревоги поступило сообщение, что в лесу у улицы Пяйкесе в поселке Харку (волость Харку) было замечано открытое пламя. Сообщение передал проезжавший мимо полицейский патруль. Прибывшие на место спасатели обнаружили рядом с горевшей старой подсобной постройкой тело погибшего человека. Подробнее

307

Rus.ERR
Rus.ERR · сегодня 11:22

Сбой Cloudflare нарушил работу государственных сайтов и нескольких платформ в Эстонии

Многие веб-сайты государственных учреждений, включая сайты правительства, Рийгикогу и полиции, были недоступны в пятницу, 5 декабря, до полудня. Согласно информации, отображаемой на страницах, сбой связан с неполадками в работе компании Cloudflare, предоставляющей киберзащиту. Подробнее

300 свежая

Tribuna
Tribuna @ Tribuna 3 место · сегодня 07:30

В Латвии завершили съёмки фильма «Серафима» — действие происходит в Советской Эстонии 1960-х

Продюсер фильма Андреас Каск рассказал, что «Серафима» снималась в Латвии в течение 33 дней: «На съёмочной площадке можно было услышать как минимум пять разных языков, поскольку этот полнометражный фильм — совместный проект Эстонии, Латвии и Польши, и в фильме говорят как на эстонском, так и на русском языках». По его словам, в фильме отчётливо выделяется […] Подробнее

260

GLOSS
Gloss @ GLOSS 1 место · сегодня 09:00

На Штромке состоится большая рождественская ярмарка

В эту субботу, 7 декабря, на Штромке откроется Большая рождественская ярмарка. Праздничная торговля начнётся в 10:00 и продлится весь день. На ярмарке соберутся лучшие продавцы со всей Эстонии, чтобы создать атмосферу уютного зимнего шопинга. Гости смогут найти оригинальные подарки, попробовать сезонные угощения и заглянуть на специальную кухню, где будут подавать рождественские блюда. Для детей подготовлена ... Сообщение На Штромке состоится большая рождественская ярмарка появились сначала на GLOSS – Элек Подробнее

177

Rus.ERR
Rus.ERR · сегодня 09:27

В Эстонии нет четкой позиции в вопросе общеевропейского запрета на продажу энергетиков детям

Среди детей растет потребление энергетических напитков. Европарламент обсуждает возможность введения единого запрета на их продажу несовершеннолетним в странах ЕС. В Эстонии есть как сторонники, так и противники общего запрета. Подробнее

134

Rus.ERR
Rus.ERR · сегодня 08:16

RKIK планирует до конца года заключить договоры с четырьмя фирмами оборонной промышленности

Государственный центр оборонных инвестиций (RKIK) надеется до конца этого года заключить договоры с четырьмя предприятиями, заинтересованными в запуске производства в строящемся в Эрмисту парке оборонной промышленности. По планам, производство должно начаться в 2027 году. Подробнее

132

Rus.Postimees
Rus.Postimees 3 место · сегодня 06:50

В октябре Министерство образования и науки провело проверку в Таллиннской Кесклиннаской русской гимназии. Результаты проверки были утверждены 28 октября, Rus.Postimees ознакомился с ними и выяснил, какие именно нарушения были выявлены. Подробнее

129

Деловые Ведомости
Деловые Ведомости 1 место · сегодня 09:04

Ошибки инвесторов в Дубае. Потери 100 000.- евро

Рынок недвижимости Дубая привлекает инвесторов быстрым развитием и перспективой высокой доходности. Так оно и есть, но бывают и исключения.По словам лицензированного в Дубае агента по недвижимостииз Эстонии Игоря Кинга, иногда к нему обращаются покупатели, которые приняли решение без консультации опытного специалиста и столкнулись с неприятными последствиями. Все случаи, которыми Кинг делится, взяты из реальной практики и связаны с клиентами из Эстонии. Подробнее

114

Самые популярные новости за последнюю неделю из того же источника
Delfi Delfi

Самые популярные источники

  • Показывается 328 новостей из 328.
  • Выбрано источников 19 (всего доступно 19).
Tribuna 32% 11
Rus.ERR 24% 0
Rus.Postimees 22% 16
Delfi 19% 5
Limon 1% 0
Показать источники »

Поставь LIKE в Facebook и не пропусти главную новость дня!

05.12.2025 12:07
Последнее обновление новостей: 12:02.
Рейтинг новостей посчитан: 12:02.

Что такое Rus.Uudis.net?

Rus.Uudis.net в реальном времени публикует самые популярные новости с эстонских порталов на русском языке.
О принципах нашей работы можно узнать в рубрике Вопросы и ответы.

На другом языке

Српски / srpski Eesti keel (Eesti uudised) Русский язык (новости Эстонии) Українська мова (новини Естонії)


Rus.Uudis.net © 2025